

مركز وعيادات الدكتور ايمن الغمراوى لزراعة وتجميل الاسنان
كتير بنشوف ناس بتعاني من فقدان أسنانهم بسبب التسوس أو أمراض اللثة أو لأسباب تانية، وزراعة الأسنان هي الحل الأمثل ليهم، لأنها ليها فوائد كتيرة. تعرف أكتر على زراعة الأسنان مع دكاترة مركز الدكتور أيمن الغمراوي، أحسن عيادات الأسنان في مصر.
احجز موعد أو إستشارة مع الطبيب
احجز موعد أو إستشارة مع الطبيبعيادات الأسنان أساسها أحدث التكنولوجيا لطب الأسنان، بالإضافة إلى فريق طبي من الأطباء المتخصصين في علاج كل أفراد الأسرة، نتميز بافضل دكتور اسنان في مصر في هذه التخصصات (أسنان مسنين، أسنان بالغين، أسنان أطفال) مع ضمان الدقة في الكشف والاكتشاف المبكر لكل الحالات لضمان عدم حدوث مضاعفات. ورعاية احترافية مميزة لكل مشاكل الأسنان واللثة .
مركز وعيادات الدكتور ايمن الغمراوى لزراعة وتجميل الاسنان
يُسعدنا في مركز دكتور أيمن الغمراوي لطب الأسنان أن نقدم لكم خدمات زراعة وتجميل الأسنان.
يمتاز مركزنا بما يلي:
- نستخدم أحدث الأجهزة في مجال طب الأسنان في مصر لزراعة الأسنان.
- يتوفر لدينا معمل تركيبات داخل المركز لتنفيذ الخطة العلاجية في أسرع وقت ممكن.
- نوفر أجهزة أشعة متطورة داخل المركز لتقليل الوقت والجهد على المرضى، مما يلغي الحاجة للذهاب إلى أماكن أخرى.
خدمات كير سمايل

التعقيم
التعقيم
لقد أصبح التعقيم وعلاقته بالوقاية أمرا بديهيا بل أن الأستخدام الأمثل والتطبيق الصحيح لشروط التعقيم أصبح مقياسا رئيسيا لانخفاض العدوى و انتشار الأمراض ومن أجل اطمئنان المريض للعيادة فلابد أن يري أجهزه التعقيم أمامه وأن يطمئن ...
المزيد
تجميل وعلاج اللثة
تجميل وعلاج اللثة
علاج اللثة وتنظيف الأسنان بصفة دورية مهم جدا تجنبا لحدوث التهابات للثة وبالتالي يحدث انحسار للثة والعظام المحيطة بالأسنان – استخدام الخيط الطبي يوميا ضروري جدا لاستكمال عملية غسيل الأسنان كاملا مع الفرشاه اصبح تجميل ...
المزيد
تصميم الابتسامة
تصميم الابتسامة
في Care & Smile Dental Center نسعي دائما بتقديم أحدث التقنيات والوسائل العلاجية في عالم طب الأسنان. ونقدم لكم تقنية تصميم الابتسامة الرقمي التي تتيح للمريض رؤية الابتسامة المستقبلية و التعديل عليها ...
المزيد
تركيبات الأسنان الثابتة
تركيبات الأسنان الثابتة
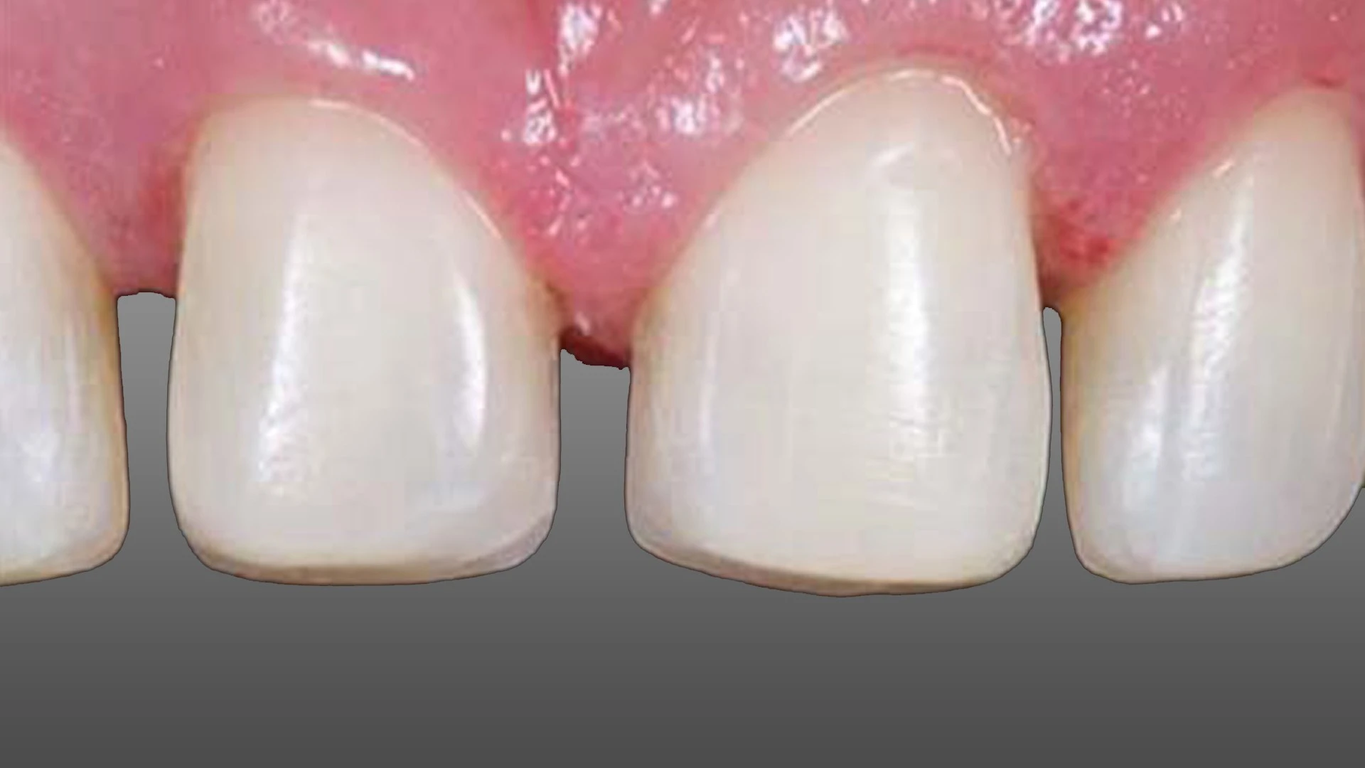
تركيب الاسنان الثابتة تركيب الأسنان الثابتة هو إجراء جراحي يهدف إلى استبدال الأسنان المفقودة بأسنان اصطناعية ثابتة تثبت في الفك باستخدام زرعات سنية. يتم تركيب الزرعة في العظمة في الفك، وتتكامل مع العظمة ...
المزيد
القشرة التجميلية
القشرة التجميلية
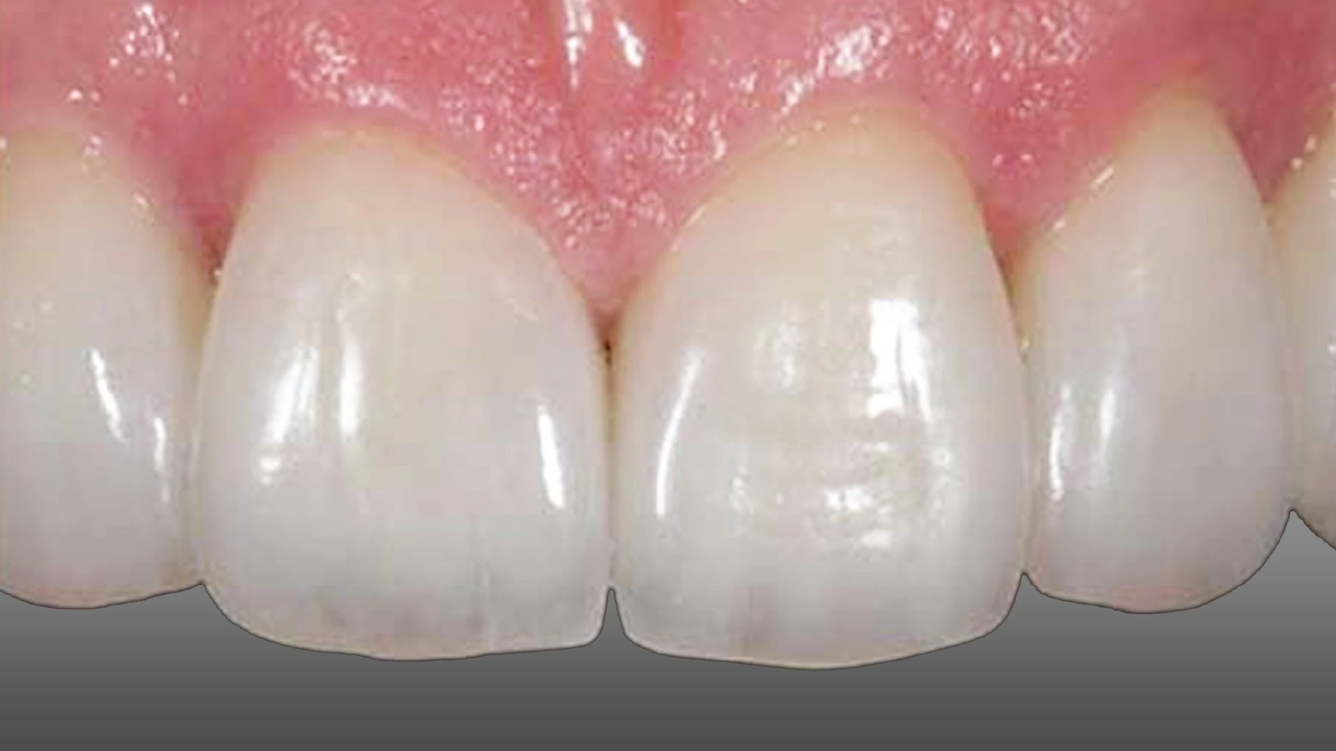
ما هى القشرة التجميلية ومتى تستخدم القشرة التجميلية (Veneers) هي قشور رقيقة مصنوعة من مواد مثل السيراميك أو الراتنج المركب، وتوضع على الأسنان الأمامية لتحسين مظهرها وتغيير لونها وشكلها. تستخدم القشور التجميلية لتصحيح ...
المزيد
تبييض الأسنان
تبييض الأسنان
تفتيح درجة لون الأسنان فقط حتي 12 درجة حسب درجة لون الأسنان الطبيعية بدون أي برد أو تأثير علي طبقة مينا الأسنان بأحدث أجهزة الليزر في العالم ( Epic x ) لا يسبب اي ...
المزيد

انا زورت أطباء أسنان كتير قبل كدا ولكن بالنسبة لي المكان دا مدهش، دكاترة محترفين، ومكان نظيف جداً وفريق عمل ودود.. شكرًا د. أيمن.


مركز وعيادات الدكتورايمن الغمراوى من افضل المراكز التي تعاملت معها ، الموظفون مهتمون جدًا. ذهبت للحشو وقلع ضرس العقل المتأثر، كنت قلق ولكن كل مخاوفي ذهبت في الجلسة الأولى. شعرت بأمان. لقد مر وقت طويل ولم أواجه أي مشاكل مع أسناني


عيادة معقمه على اعلي مستوى دكتور ايمن دكتور محترف و راق و فريق عمل مميز الحقيقة .بوصي اي حد محتاج طبيب اسنان يتوجه ليكوا بدون تردد.تحياتي لك د.ايمن الغمراوي و فريق العمل